
Полная версия:
Аллан Пиз Почему мужчины хотят секса, а женщины любви
- + Увеличить шрифт
- - Уменьшить шрифт
Страсть, вне всякого сомнения, ведет к продолжению рода и способствует выживанию человечества. Страсть необходима в экстремальных условиях, когда на романтику просто нет времени. Кроме того, женщины способны выносить за год только одного ребенка. А следовательно, без страсти люди оказались бы на грани вымирания – мы слишком медленно воспроизводимся, и поэтому мать-природа сделала нас страстными существами. Вот почему люди в опасных ситуациях, например, в военное время, испытывают сильнейшую страсть даже к совсем посторонним людям. Если жизни угрожает опасность, человек испытывает страстное желание передать свои гены.
Короче говоря, страсть, любовь с первого взгляда и навязчивые, целенаправленные аспекты земной любви – это виды поведения, которые сформировались для ускорения спаривания и обеспечения более высокой вероятности успешного воспроизводства человека.
Давай займемся любовью
Основной гормон, отвечающий за сексуальное желание, это тестостерон. В организме мужчины содержание тестостерона в 10–20 раз больше, чем в женском. Вот почему мужчины так сильно и часто хотят секса. Тестостерон делает мужчин более крупными, более волосатыми, более сильными, более агрессивными и более сексуально страстными. А вот содержание окситоцина в мужском организме значительно ниже, чем в женском. Окситоцин, который называют еще «гормоном ласки», в больших количествах вырабатывается в мужском и женском организме во время оргазма. Как только у мужчины может возникнуть новая эрекция, уровень окситоцина падает. Вот почему ласки после секса так важны для женщин и практически не нужны мужчинам.
В 2006 году Ребекка Тернер, профессор факультета организационной психологии международного университета в Сан-Франциско, доказала, что окситоцин является основой для человеческой эмоциональной привязанности. Когда люди влюблены, то есть испытывают эмоциональную привязанность, уровень окситоцина в их организмах довольно высок. Этот гормон вызывает теплые, нежные чувства, которые мы испытываем по отношению к предмету нашего желания. Более высокий, чем у мужчин, уровень окситоцина объясняет, почему женщины в начале новых отношений влюбляются сильнее мужчин. Чем больше окситоцина вырабатывается в их организме, тем более заботливыми они становятся и тем глубже их эмоциональная связь с мужчиной. Женщине достаточно услышать имя любимого, почувствовать запах его одеколона, подумать о нем или услышать песню, под которую они танцевали, как уровень окситоцина в ее организме повышается. Дорогая одежда, идеальный макияж, обилие украшений и новая спортивная машина не могут замаскировать эмоциональное состояние женщины. Если она чувствует себя любимой и обожаемой, гормоны вызывают прилив крови к щекам, что заставляет женщину «сиять». Она буквально излучает счастье. Если же она чувствует себя нелюбимой и никому не нужной, это заметить еще проще.
В чем разница между мужчинами и женщинами?
Женщина хочет, чтобы один мужчина удовлетворял все ее маленькие прихоти.
Мужчине же нужно, чтобы все женщины удовлетворяли одну его маленькую прихоть.
Исследования Дэвида Басса показали, что на этапе влюбленности уровень тестостерона в организме мужчин понижается, а окситоцина повышается, что ускоряет процесс формирования эмоциональной связи. Это делает мужчин мягче, нежнее и общительнее. В то же время уровень тестостерона в организме женщин повышается, и это объясняет возбуждение и уверенность, которые любая женщина ощущает в начале новых отношений. Повышение уровня тестостерона заставляет женщин желать секса, и это создает иллюзию того, что мужчины и женщины стремятся к сексу одинаково. Когда же период влюбленности через три-девять месяцев заканчивается, сексуальность партнеров возвращается к нормальному состоянию. И тогда у мужчины создается впечатление, что женщина не любит секс, а женщине кажется, что она связалась с сексуальным маньяком. На этом многие отношения заканчиваются.
Почему влюбленные сходят с ума друг от друга
Джозефине 33 года. Она мать-одиночка и всю свою жизнь посвятила детям. Через полгода работы на новом месте она попала на корпоративную рождественскую вечеринку. Вечеринка проходила на круизном корабле в Сиднейском заливе. Джозефина выглядела прекрасно. Многие мужчины говорили ей комплименты и смотрели на нее с восхищением. Это вселило в нее уверенность в себе, и она почувствовала себя красивой. Корабль заскользил по залитой лунным светом воде. В этот момент Джозефине представили Рика, симпатичного молодого человека из мельбурнского офиса. Как только они пожали друг другу руки, сердце Джозефины забилось быстрее. Рик был высоким, темноволосым, привлекательным, веселым. Казалось, его так же влечет к ней, как и ее к нему. После танцев и романтического ужина они проговорили всю ночь и провели вместе следующий день и вечер. Джозефина была полностью очарована.
Возвращение домой к детям было чудесным, но она продолжала думать о Рике и о проведенном с ним времени. Она гадала, скучает ли он по ней так же, как и она по нему. За следующие несколько дней она даже похудела, потому что не могла есть. Джозефина могла думать только о Рике. Она начала звонить ему каждый час, чтобы сказать, что мечтает о нем. Она посылала ему текстовые сообщения по утрам. Она стала покупать ему подарки, чтобы показать, как он ей дорог. Дети начали чувствовать себя заброшенными, их поведение стало меняться к худшему, но она не обращала на это внимания. Джозефина отменила курс стоматологического лечения для сына, а на эти деньги купила билет на самолет, чтобы встретиться с Риком. Ей казалось, что настало время подумать о собственных потребностях и начать жизнь заново.
Во многих отношениях изменения в поведении во время романтической любви напоминают психоз. С биохимической точки зрения страстная любовь очень похожа на наркоманию. Доктор Джон Марсден, руководитель Британского национального центра зависимостей, выяснил, что любовь вызывает такую же сильную зависимость, как кокаин и скорость. Он считает романтическую любовь ловушкой, основная цель которой удержать партнеров вместе достаточно долго. Антрополог Хелен Фишер, автор книги «Анатомия любви», называет влюбленность «определенной последовательностью химических реакций, которые происходят в мозгу и напоминают психическое заболевание». Доктор Фишер считает, что во время влюбленности активизируются те же участки мозга, что и при употреблении кокаина, и человек испытывает то же сильное возбуждение, что и при приеме наркотиков. Исследователи также связали романтическую любовь с путями распространения допамина, гормона, отвечающего за ощущение эйфории, страстного желания и зависимости.
Мурашки бегут по спине
Химические вещества, которые вырабатываются в мозгу при возникновении новой любви, вызывают различные физические ощущения и реакции. Об этом говорят около 90 % влюбленных. Люди теряют сон и аппетит, испытывают прилив крови к щекам, возбуждение, неловкость, эйфорию, ощущение мурашек, учащение дыхания и сердцебиения, головокружение, слабость в коленях, у них потеют ладони, они начинают заикаться. Многие из этих реакций связаны со страхом быть отвергнутым любимым человеком, так что все это является эволюционным блоком возбуждения и страха, испытываемых одновременно. Влюбленные не только испытывают эти эмоции, но еще и постоянно изучают лицо любимого человека, ища признаки взаимности.
Кэрол Кинг идеально описала химические реакции, происходящие в процессе влюбленности, в тексте своей песни 1970 года «Я чувствую, как земля уходит из-под ног». Певица поет о том, как ее бросает из жара в холод, как она теряет эмоциональный контроль, как начинает стучать ее сердце, как небо падает, когда любимый рядом. Точно такие же ощущения испытывает любой наркоман.
Любовь может стать восхитительным аттракционом, и такое случается неожиданно для большинства людей. Они не готовы контролировать свои чувства и не могут этого сделать. Эти ощущения возникают в части мозга, отвечающей за подсознание и первобытные инстинкты, – в коре. Эта часть гораздо сильнее рациональной, мыслящей части. Вот почему влюбленные ведут себя иррационально. Точно так же реакция «дерись или беги» заставляет человека при встрече со львом бежать сломя голову, а не спокойно и трезво обдумывать план спасения.
Любовная эйфория вдохновляла поэтов и композиторов на создание лирических любовных песен, мелодий и трогательных стихов. А других та же самая любовь делала жертвами ревности и паранойи. Недавно проведенные исследования показывают, что любовь может кардинально улучшить здоровье человека, даже излечить рак и другие тяжелые болезни. Любовь заставляет нас продолжать жить с теми, чье поведение опасно для нашего благополучия, и такое случается довольно часто.
Есть не могу, спать не могу
Стадию влюбленности часто называют болезнью. Влюбленные говорят, что не могут есть, плохо спят. Они демонстрируют стандартное компульсивное поведение – например, звонят своим любимым по 20–30 раз в день. Такое поведение связано с низким уровнем серотонина и высоким уровнем окситоцина. Серотонин – это нейротрансмиттер, который повышает концентрацию, степень внимания и четкость восприятия окружающей обстановки и ощущение благополучия.
Депрессия и пищевые расстройства также связаны с понижением уровня серотонина. Действие антидепрессантов как раз и направлено на повышение уровня этого вещества. В женском организме естественное содержания окситоцина на 30 % выше, чем в мужском. Это явление в сочетании с низким уровнем серотонина объясняет, почему женщины чаще «сходят с ума» от своих партнеров и даже демонстрируют навязчивое поведение.
«Любовь – это всего лишь грязный трюк, направленный на продолжение рода».
У. Сомерсет Моэм
В 2007 году Серж Брэнд и его коллеги из университетской психиатрической клиники в швейцарском Базеле опросили 113 человек в возрасте 17 лет. 65 из них сказали, что недавно влюбились. Брэнд выяснил, что влюбленные подростки меньше спят, чаще проявляют компульсивное поведение и обладают «массой безумных идей и творческой энергией». Влюбленные подростки более склонны к рискованному поведению – экстремальному вождению или банги-джампингу. Брэнд показал, что подростки на ранних стадиях интенсивной романтической любви ничем не отличаются от пациентов, страдающих гипоманией. Другими словами, иногда бывает трудно отличить влюбленного подростка от человека, которого со всеми на то основаниями считают психически больным.
Если вы когда-нибудь говорили, что сходите с ума по кому-то, то были совершенно правы.
Что показывает сканирование мозга
Новые технологии, такие как ядерно-магнитный резонанс (ЯМР) и магнитно-энцефалографическое сканирование (МЭС), открыли перед учеными целый новый мир. Ученые получили возможность изучать работающий человеческий мозг, не причиняя вреда пациенту.
Изучение любовных и сексуальных реакций мозга достигло пика в 2002 году, когда английские нейробиологи Андреас Бартельс и Семир Зеки из университетского колледжа Лондона провели исследование молодых мужчин и женщин, только что вступивших в новые отношения и «безумно влюбленных». Когда этим людям показывали фотографии их любимых, мозговая активность резко менялась в сравнении с тем, когда они смотрели на фотографии близких друзей. Сканирование мозга показало, что романтическое влечение активирует те зоны мозга, где сконцентрированы рецепторы допамина. Допамин, как вы помните, – это нейротрансмиттер, который влияет на ощущение наслаждения. Его часто называют «гормоном счастья». Высокий уровень допамина и норэпинефрина обостряет внимание, улучшает краткосрочную память, приводит к гиперактивности, бессоннице и целенаправленному поведению. Когда партнеры только влюбляются друг в друга, они часто демонстрируют признаки повышения уровня допамина: они полны сил, им не хочется спать и есть, они сосредоточены и находят огромное наслаждение в мельчайших деталях новых отношений. Бартельс и Зеки сравнили результаты сканирования мозга людей, находившихся в различных эмоциональных состояниях – сексуального возбуждения, ощущения счастья и кокаиновой эйфории. Оказалось, что результаты практически идентичны.
Придется признать: вы – наркоман любви
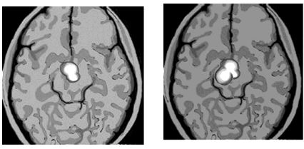
Ниже показаны результаты сканирования мозга «безумно влюбленного» человека и кокаинового наркомана. Убедитесь, что они почти идентичны.

На левом снимке показан участок мозга, активизирующийся у «безумно влюбленного» человека. На правом снимке показан участок мозга, который активизируется при употреблении кокаина
Итак, влюблены ли вы или просто приняли наркотик, ваши ощущения будут одинаковыми. Сканирование также показывает, что у матерей, которые смотрят на своих младенцев, проявляется та же мозговая активность, что и у людей, глядящих на своих любимых. Бартельс и Зеки сделали вывод о том, что романтическая и материнская любовь связаны с продолжением рода, поскольку и любимый человек, и младенец обещают сохранение ДНК.
География секса и любви
В 2005 году доктор Люси Браун, профессор медицинского колледжа Альберта Эйнштейна в Нью-Йорке, вместе с самым известным биоантропологом мира, Хелен Фишер из Университета Рутджерса, провели исследование результатов сканирования мозга 17 молодых мужчин и женщин. Эти люди только что вступили в новые отношения и называли себя «безумно влюбленными», то есть они переживали период страсти или начала романтической любви. Сканирование мозга позволило физиологически объяснить, почему во время влюбленности мы ощущаем себя определенным образом – почему любовь является столь сильным чувством и почему отказ вызывает настолько болезненную и мучительную реакцию.
Ученые изучали участок мозга, отвечающий за пристрастия, память, эмоции и внимание, который называется «хвостатым ядром», а также вентрально-тегментальную область – ту часть мозга, откуда допамин поступает в другие участки. Эти области явно выделялись на снимках мозга, когда испытуемым показывали фотографии их любимых. Ученые также сравнили данные сканирования с исследованиями эректильной реакции мужчин на фотографии женщин. Они проанализировали данные, полученные при исследовании пар, которые долгое время были вместе (и людей, и животных). Ученые обнаружили, что в начале периода влюбленности вентрально-тегментальная область выбрасывает допамин в хвостатое ядро. Затем хвостатое ядро посылает сигналы с требованием большего количества допамина. Чем больше допамина вырабатывает ваш мозг, тем счастливее вы себя чувствуете. Фишер и Браун также подтвердили, что «безумная любовь» вызывает ощущения, сходные с наркотическим опьянением, что объясняется гормональной активностью.

Срез головного мозга человека
Фишер и Браун установили, что с романтической любовью в головном мозге связано именно хвостатое ядро. Они обнаружили, что длительная привязанность концентрируется во фронтальной части и основании мозга, в вентральной скорлупе и бледном ядре. Чувства, связанные со страстью и сексуальным возбуждением, воздействуют на другие области, преимущественно расположенные в левом полушарии мозга. Это очень важное исследование снимает покров тайны с любви и позволяет нам относиться к этому чувству более объективно.
Любовь – это химический коктейль из гормонов счастья. Тех, кто впал в зависимость от этого коктейля, вполне можно назвать «наркоманами любви».
Почему мужчины и женщины воспринимают любовь по-разному
Фишер и Браун, вместе и по отдельности, проанализировали результаты сканирования мозга более 3000 «безумно влюбленных» студентов, полученные в тот момент, когда им показывали фотографии любимых. Ученые обнаружили, что у женщин, принимавших участие в исследовании, проявлялась повышенная активность хвостатого ядра (мы уже говорили, что область мозга, связанная с памятью, эмоциями и вниманием, «центр удовольствий», – это задняя теменная кора, которая участвует в формировании ментальных образов и воспоминаний). Мужчины, участвовавшие в исследовании, демонстрировали повышенную активность визуального участка коры и зон, связанных с обработкой зрительных образов, в том числе и той области, которая отвечает за сексуальное возбуждение. Бартельс и Зеки пришли к тому же выводу независимо.
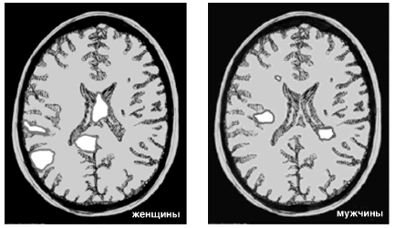
Приведенные ниже результаты сканирования мозга иллюстрируют исследование, проведенное доктором Браун. Они показывают, в каком участке мозга «располагается» любовь и почему мужчины и женщины относятся к этому чувству по-разному. Это снимки мозга мужчин и женщин, которые смотрят на фотографии людей, в которых они страстно влюблены.

Образы любви. Мужчины и женщины смотрят на фотографии любимых людей.
Белым цветом показаны активные области
Вы видите, что у мужчин светлых участков меньше, чем у женщин. Однако, когда эти снимки показываются в цвете, становится ясно, что активизированные участки мужского мозга действуют более интенсивно. Обширные активизированные участки женского мозга гораздо менее активны. У женщин таких участков больше, и расположены они не там, где у мужчин. Это объясняет, почему мужчины и женщины относятся к любовным отношениям по-разному.
В ходе другого исследования людям показывали эротические фотографии и одновременно проводили сканирование мозга. Браун и Фишер не обнаружили на снимках ни одного участка, связанного с «влюбленностью». Как уже отмечалось раньше, они выявили активность гипоталамуса, который управляет такими чувствами, как голод и жажда, а также мозжечковой миндалины, ответственной за возбуждение. Отсюда можно сделать вывод о том, что влюбленность и страсть – это разные состояния, поскольку в мозгу задействуются разные системы.
В заключение скажем, что ученые доказали: при оценке представителей противоположного пола на ранней стадии любви в мозгу мужчин и женщин происходят совершенно разные процессы. У мужчин главное орудие оценки сексуального потенциала женщин – глаза. Женщины же оценивают потенциал мужчины в качестве долгосрочного партнера, опираясь на память. Страсть и любовь воздействуют на разные участки мозга. Это вовсе не одно и то же.
Как мужской мозг оценивает привлекательность женщины
Когда Бартельс и Зеки показывали мужчинам фотографии привлекательных женщин, испытуемые демонстрировали повышенную активность двух участков мозга: отвечающего за визуальные образы и связанного с пенильной эрекцией (ну надо же, кто бы мог подумать!). Большинство мужчин любит глазами. Они постоянно смотрят на женщин, фантазируют о них и любят смотреть порно. И это не сюрприз для большинства из нас. Ученые выяснили, что когда в мужском мозгу активизируются эти участки, то те зоны, которые отвечают за моральные оценки, в буквальном смысле слова «засыпают».
Трехлетний мальчик в душе изучает свои яички.
«Мама, – спрашивает он, – это мои мозги?»
«Пока нет», – отвечает мать.
Визуальная мозговая сеть мужчины развивалась на протяжении миллиона лет. Мужчине нужно было смотреть на женщину, чтобы оценить ее способность произвести на свет здоровое потомство и обеспечить продолжение рода. Если женщина была молода и здорова, мужчина сразу же возбуждался и начинал процесс ухаживания. Вот почему мужчины влюбляются быстрее женщин – они более визуально мотивированы, а визуальные рецепторы мгновенны и очень быстро посылают в мозг сигнал, который активизирует выброс гормонов. Это также объясняет и то, почему мужчины более склонны к любви с первого взгляда.
Мужчина использует глаза в первую очередь для оценки потенциала женщины. Когда мужчина заводится, происходит выброс гормонов и, как следствие, эрекция. Эти гормоны могут подавить способность к рациональному мышлению, в результате чего мужчины могут спонтанно принять решения, абсолютно не отвечающие их интересам. В такой ситуации эрекция подавляет рассудок. Подобный вывод вряд ли удивит женщину, имеющую опыт общения с мужчинами. Сканирование мозга, проведенное Дэвидом Бассом, показывает, что подобное поведение является универсальным, межкультурным явлением.
«Бог дал мужчине пенис и мозг, но кровь не может одновременно приливать к ним обоим».
Робин Уильямс
Как женский мозг оценивает привлекательность мужчины
Анализ результатов сканирования женского мозга показывает нечто совершенно иное. Оценивая мужскую привлекательность, женский мозг активизирует несколько участков, связанных с памятью. В смысле эволюции, запоминание всех деталей мужского поведения – это адаптивная стратегия.
На протяжении сотен тысяч лет женщины растили детей до тех пор, пока те не становились полностью независимыми. Материнство – сложная работа, и у людей она гораздо сложнее, чем у животных. Женщинам необходима поддержка и защита, пока они выкармливают потомство и заботятся о нем. В доисторические времена, когда партнер женщины умирал, ей приходилось тратить массу времени и сил на то, чтобы найти ему замену.
Мужчина способен визуально оценить женщину очень быстро. Женщина же не может просто посмотреть на мужчину и понять, честен ли он, заслуживает ли доверия, способен ли убить зебру камнем с 50 метров и поделится ли с ней добытым мясом. Современная женщина должна помнить то, что мужчина говорил вчера, три недели и три месяца назад. Ей нужно знать, как он относится к детям, добр ли и щедр ли он. Женщина должна знать, как мужчина общается с матерью, где и кем работает, чем занимался в прошлом. Она оценивает его материальное состояние. Только после этого женщина может решить, подходит ли мужчина на роль постоянного партнера. Глядя на фотографию мужчины, она вспоминает других мужчин, обладавших подобными чертами, а потом анализирует их личные качества. После этого ее мозг привязывает эти качества к мужчине, на фотографию которого она смотрит. Женщина словно собирает психологическую головоломку, оценивая характер мужчины на основании данных, полученных от других мужчин. Это не означает, что оценка будет правильной. Просто женщина создает ментальный образ на основании характеров знакомых ей мужчин. Пока женский мозг собирает данные для оценки партнерского потенциала мужчины, мужчина успевает подробно и внимательно рассмотреть женщину. Теперь вы понимаете, почему женщины никогда ничего не забывают и почему мужчин постоянно ловят на том, что они таращатся на женщин.
Около 79 % пар, собирающихся вступить в брак, осуществляют задуманное, но только 18 % из этих браков длятся более 10 лет.
Почему страсть недолговечна
Донателла Мараццити, психиатр из итальянского университета города Пизы, изучала гормональные изменения, связанные с обсессивно-компульсивным расстройством (ОКР), сосредоточившись на серотонине, то есть на веществе, которое оказывает на мозг успокаивающее действие. Недостаток серотонина ведет к агрессии, одержимости, депрессии и тревожности. Лекарства группы «прозак» борются с подобными состояниями, стимулируя выработку химических веществ в мозгу. Мараццити заинтересовалась тем, почему люди, страдающие ОКР, и влюбленные могут часами сосредоточиваться на конкретном предмете или человеке. Надо сказать, что и те, и другие часто понимают, что их одержимость иррациональна, но не могут контролировать свое состояние. Мараццити измерила уровень серотонина у 20 людей, страдающих ОКР, и у 20 безумно влюбленных. Затем она сравнила полученные результаты с результатами «нормальных» людей, то есть тех, кто не страдал психическим заболеванием и не находился в состоянии влюбленности. Если у «нормальных» людей был нормальный уровень серотонина, то и у влюбленных, и у страдающих ОКР уровень этого гормона был понижен на 40 %. Ученые оценили этот показатель по уровню активности белка, переносящего серотонин, в тромбоцитах. Этот эксперимент объясняет, почему ранняя романтическая любовь часто переходит в настоящую одержимость.
Проведя повторные эксперименты с теми же участниками через год и два года, Мараццити обнаружила, что гормональные изменения, вызванные страстью, исчезли полностью, а уровень серотонина вернулся к нормальным показателям даже у тех пар, которые жили вместе. Любящие люди каждый день клялись друг другу в том, что их чувства не изменились, но гормоны говорили о другом. Мать-природа слишком умна: она поддерживает гормональный уровень ровно столько, сколько необходимо для стимулирования достижения эволюционной цели, то есть для воспроизводства потомства.
С помощью того же метода Энцо Эмануэле и его коллеги из итальянского университета города Павии в 2005 году выясняли, влияют ли нейротрофины на романтическую любовь. Они установили, что концентрация нервного фактора в крови у влюбленных добровольцев превышает нормальный уровень, что ведет к усилению интенсивности романтических чувств. Как и Мараццити, Эмануэле и его коллеги также установили, что через год-другой все приходит в норму, даже если партнеры продолжают жить вместе. Ни первоначальная интенсивность любовных чувств, ни концентрация нервного фактора не являются показателем того, долго ли продлятся отношения между партнерами.







